Call Us
(781) 604-3999
Book
Online
Call Us
(781) 604-3999
Book
Online

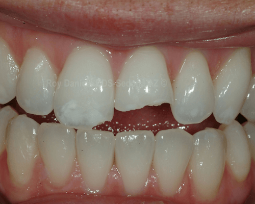
Traumatic Injuries

 Traumatic Injuries

Dislodged Teeth

Injuries to the mouth can cause teeth to be pushed back into their sockets. Your endodontist or general dentist may reposition and stabilize your tooth. Root canal treatment is usually started within a few weeks of the injury and a medication, such as calcium hydroxide, maybe placed inside the tooth. Eventually, a permanent root canal filling will be required.
Sometimes a tooth may be pushed partially out of the socket. Again, your endodontist or general dentist may reposition and stabilize your tooth. If the pulp remains healthy, then no other treatment may be necessary. Yet, if the pulp becomes damaged or infected, root canal treatment may be required.

Avulsed Teeth

If an injury causes a tooth to be completely knocked out of your mouth, it is important that you are treated immediately! If this happens to you, keep the tooth moist. If possible, put it back into the socket. A tooth can be saved if it remains moist. You can even put the tooth in milk or a glass of water (add a pinch of salt.) Your Endodontist may start root canal treatment based upon the stage of root development. The length of time the tooth was out of your mouth and the way the tooth was stored, may influence the type of treatment you receive.

Injuries in children

An injured immature tooth may need one of the following procedures to improve the chances of saving the tooth:

Apexogenesis

This procedure encourages the root to continue development as the pulp is healed. Soft tissue is covered with medication to encourage growth. The tip of the root (apex) will continue to close as the child gets older. In turn, the walls of the root canal will thicken. If the pulp heals, no additional treatment will be necessary. The more mature the root becomes, the better the chance to save the tooth.

Apexification

In this case, the unhealthy pulp is removed. The Doctors place medication into the root to help a hard tissue form near the root tip. This hardened tissue provides a barrier for the root canal filling. At this point, the root canal walls will not continue to develop, making the tooth susceptible to fractures. So it is important to have the tooth properly restored by your dentist.