Cavity Fillings

Everyone gets cavities. Today’s modern restorative dentistry techniques allow you to get your teeth repaired without unsightly or toxic metal amalgam fillings.
Tooth-colored fillings use strong, durable tooth-colored composite resins which look like your natural teeth and provide you with an attractive smile.
Mercury-Free Dentistry
A material known as amalgam is commonly used by dentists to fill cavities and decayed teeth. Unfortunately, amalgam is partially composed of mercury – a toxic material that research has proven to be harmful to the body, even at minimal levels of exposure. Additionally, mercury is responsible for the abnormal, metallic coloring of traditional dental fillings, and also requires an extensive filtration process before it can be disposed of properly.
We are proud to say that our Woburn Dentistry and our experienced staff practices mercury-free dentistry. Every treatment and procedure we offer utilizes mercury-free materials designed with patient safety in mind. Our tooth-colored fillings are composed of strong composite materials that provide added support and protection for your teeth, as well as a more natural-looking color that is barely detectable on the treated tooth. Ultimately, our mercury-free techniques offer you the highest degree of safety without sacrificing results.
Dental Composites
Dental composites are also called white fillings. Crowns and in-lays can also be made in the laboratory from dental composites. These materials are similar to those used in direct fillings and are tooth colored. Their strength and durability is not as high as porcelain or metal restorations and they are more prone to wear and discoloration.
Many people still have silver/mercury fillings in their mouths from years past. These fillings are not particularly pleasing to the eye, and we know that by unavoidable design, silver/mercury fillings ultimately result in a weaker tooth structure. Porcelain inlays and tooth-colored restorations (onlays) create fillings that are not only beautiful (or unnoticeable), but also add strength to weakened teeth. These restorations are aesthetically pleasing and very strong thanks to new bonding technologies.
What are tooth-colored fillings?
Tooth-colored fillings are made of a resin composite that's designed to be extremely strong and durable. Unlike metal amalgam fillings, tooth-colored fillings can be tinted to match the surrounding tooth material so they blend in and look natural.
Are tooth-colored fillings better than traditional metal fillings?
Tooth-colored fillings offer several advantages over traditional metal amalgam fillings, including an improved cosmetic appearance compared to metal fillings, which are much more obvious and tend to become darker over time. They also can be shaped so they feel comfortable and help to support a healthy, balanced bite. Plus, the material itself adheres well to the tooth surface, using a special solution to prepare the surface so it bonds with the tooth instead of simply laying on top and enabling decay-causing bacteria to “leak in” around the edges. And of course, tooth-colored fillings contain no mercury; metal fillings contain large amounts of mercury, which can pose health dangers.
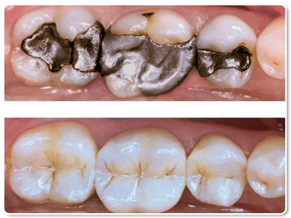
Disadvantages Of Silver Fillings
Silver fillings have many drawbacks. The edges of the silver filling can wear down, become weak or break. This results in the tooth not being protected and creates an environment where cavities get started once again. With age, the metal of a silver filling expands, contracts, and can split.
Silver fillings contain 50 percent mercury. They can corrode, leak, and cause stains on your teeth and gums. Fortunately, silver fillings can safely be replaced with tooth-colored restorations.
Advantages of Tooth-Colored Restorations
Appearance: Tooth-colored filling material comes in a great number of shades and is matched to your individual tooth color. The materials used for front teeth have a high shine, whereas the materials for back teeth are designed for strength. Tooth-colored restorations look natural and can be virtually undetectable.
Durability: Tooth-colored fillings are now harder and thus comparable to silver amalgam fillings. A small tooth-colored filling could last a lifetime, and larger such fillings can be expected to last many years. The factors that determine the life span of a particular tooth-colored filling include: the biting force on the filling, the size of the filling relative to the tooth (smaller fillings will usually be more durable than larger fillings), and how teeth are cleaned and maintained.
Noticeability: A new filling should feel natural, like your own teeth. After the anesthesia has worn off and you can feel your teeth and bite again, you should not notice anything particularly different. It should be smooth and comfortable. There is a period that you might feel some sensitivity to temperature after the restoration. This is temporary as with any other restoration.
What happens in the tooth filling procedure?
Before the filling is put in place, your tooth will be evaluated to determine the extent of decay or damage. Sometimes, damage can be examined visually and with special instruments or picks, but other times, x-rays will be needed to assess the tooth structure. Next, the decayed or damaged area will need to be completely removed and the cavity will be cleaned of debris. Once the cavity is completely cleaned, the surface will be prepared using a special solution to improve adherence of the filling material. The composite material is mixed and tinted to match your surrounding teeth, and then flowed onto the surface of the tooth. A special light is used to cure the material, which is then gently shaped and buffed for a comfortable fit and natural appearance.
The Process of Filling a Tooth
There are many reasons why a tooth may need to be filled or restored: decay and chipping are two common ones. No matter which material is chosen, the procedure is almost the same. After the area has been anesthetized (usually by a numbing injection), the tooth is “prepared” by removing decay and making it ready for the restoration. Next, the filling material is placed directly into the tooth. Once it has securely bonded to the tooth structure, the process is essentially complete.
Now, here's the difference: In order to achieve a good structural bond with a traditional amalgam filling, it is often necessary to shape the tooth by making a series of “undercuts” that help hold the material in place. This means that some healthy tooth material must be removed, leaving less of the tooth's structure intact. In time, the structurally-weakened tooth can be prone to cracking.
But composite resin fillings don't require undercutting to make a strong union — instead, they form an intimate physical and mechanical bond directly to the prepared tooth. This more conservative treatment may ultimately lead to a better and longer-lasting restoration.
When Can Tooth-Colored Fillings Be Used?
Composite resins are generally appropriate for small to moderate-sized restorations — which encompass the most common types of fillings. They are durable, fracture-resistant, and able to withstand chewing pressure. Depending on how much of the tooth needs restoration, the procedure may be accomplished in just one visit. Alternatively, if a large volume of tooth material must be replaced, a part may be fabricated outside the mouth and later bonded to the tooth.
Whatever the situation, the best way to determine whether tooth-colored fillings are right for you is to come in and consult with us. We can explain the appropriate options and help you select the best way to proceed with treatment. Either way, you'll be able to achieve — and keep — a healthy-looking smile.
How long do Porcelain Fillings last?
Porcelain fillings are the longest lasting dental filling option available in current restorative dentistry. With proper care and dental hygiene, a porcelain filling can last for over 30 years.
Call the Woburn Dentist today at (781) 604-3999 and make an appointment for a Tooth-colored Restorations dental consultation. We also serve other nearby communities like Woburn, Burlington, Stoneham, Winchester, Lexington and Wilmington.
Wisdom Teeth Removal
Tooth Extraction , MA – Wisdom Teeth Removal
As a comprehensive oral surgery provider, Woburn Dentistry is equipped to handle all types of tooth extractions. In particular, we have become one of the premier providers of wisdom teeth removal in Plano and surrounding communities. If you are experiencing any type of discomfort, we encourage you to contact us promptly for a consultation or you can visit one of our 4 offices in Plano, Denton, Decatur, or Gainesville. Tooth extractions are a relatively routine procedure if addressed in a timely manner.
After Extraction of Wisdom Teeth
In most cases, the removal of wisdom teeth is performed under local anesthesia, laughing gas (nitrous oxide/oxygen analgesia), or general anesthesia. These options, as well as the surgical risks (i.e., sensory nerve damage, sinus complications), will be discussed with you before the procedure is performed. Once the teeth are removed, the gum is sutured. To help control bleeding bite down on the gauze placed in your mouth. You will rest under our supervision in the office until you are ready to be taken home. Upon discharge your postoperative kit will include postoperative instructions, a prescription for pain medication, antibiotics, and a follow-up appointment in one week for suture removal. If you have any questions, please do not hesitate to call our office at Woburn Dentistry Office Phone Number (781) 604-3999.
About Bone Grafting
What is Bone Grafting?
Over a period of time, the jaw bone associated with missing teeth atrophies and is reabsorbed. This often leaves a condition in which there is poor quality and quantity of bone suitable for the placement of dental implants. In these situations, most patients are not candidates for the placement of dental implants.
With bone grafting we now have the opportunity to not only replace bone where it is missing, but we also have the ability to promote new bone growth in that location. This not only gives us the opportunity to place implants of proper length and width, it also gives us a chance to restore functionality and aesthetic appearance.
Jaw Bone Health
The Importance of Teeth for Jaw Bone Health
When one or more teeth are missing it can lead to bone loss at the site of the gap. This loss of jaw bone can develop into additional problems, both with your appearance and your overall health. You may experience pain, problems with your remaining teeth, altered facial appearance, and eventually even the inability to speak and/or eat normally.
In the same way that muscles are maintained through exercise, bone tissue is maintained by use. Natural teeth are embedded in the jaw bone and stimulate the jaw bone through activities such as chewing and biting. When teeth are missing, the alveolar bone, or the portion of the jaw bone that anchors the teeth into the mouth, no longer receives the necessary stimulation it needs and begins to break down, or resorb. The body no longer uses or “needs” the jaw bone, so it deteriorates.